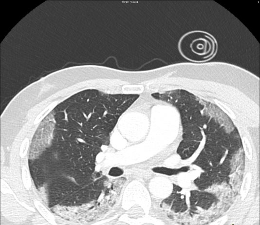
Radiologia ASST Cremona
57-year-old male patient with fever, cough. No previous medical history. Potential exposure to Covid-19 patients.
Respiratory
failure (hypoxemia and hypocapnia). Leukocitosi. Nasal swab positive for
SARS-CoV-2.
HRCT
G.Patelli, F.Besana, S. Paganoni, A. Lenzi, F. Codazzi, L.Di Mare, G.Esposito, C. Sala
UOC Radiologia ASST Bergamo Est Direttore Dr Gianluigi Patelli
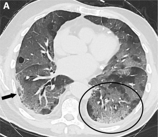
62-year-old male patient with fever, cough and asthenia for three days. No previous medical history. pO2 97%, C.RP 0.75.
A. Borgheresi, A. Agostini, L. Ottaviani, C. Floridi, A. Giovagnoni
Dipartimento di Scienze Radiologiche - Scuola di Specializzazione in Radiologia
Università Politecnica delle Marche - Azienda Ospedali Riuniti - Torrette - Ancona
80-year-old male...








