A cura di G.Patelli, A. Lenzi, F.Besana,S. Paganoni,, F. Codazzi, G.Colao, C.Coluccia, E.Faietti, G.Ghilardi
UOC Radiologia ASST Bergamo Est - Direttore Dr. Gianluigi Patelli
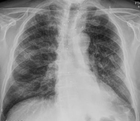
73-year-old female
patient with fever and respiratory distress.
The patient was intubated in the...
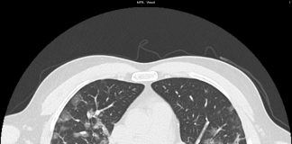
Radiologia ASST Cremona
63-year-old male patient with no previous medical history. Exposure to Covid-19 patients. Fever, cough.
Respiratory failure (hypoxemia and hypocapnia). Leukocitosis. Nasal swab positive for SARS-CoV-2.
HRCT
Figura 1
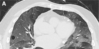
Radiologia ASST Cremona
57-year-old male patient with fever, cough. No previous medical history. Potential exposure to Covid-19 patients.
Respiratory
failure (hypoxemia and hypocapnia). Leukocitosi. Nasal swab positive for
SARS-CoV-2.
HRCT
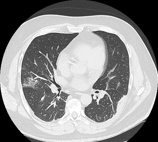
Radiologia ASST Cremona
43-year-old male patient
with fever, cough. No previous medical history. Exposure to Covid-19 patients.
Respiratory failure (hypoxemia and hypercapnia). Leukopenia. Nasal swab positive for SARS-CoV-2.
HRCT
Figura 1
Marta Brandani, Medico Radiologo, Ospedale Santa Maria alla Gruccia (Valdarno, Provincia di Arezzo)
77-years-old male admitted to ED for diarrhea, vomit and epigastralgia for 15 days.
Exposure to Covid-19 patient.
Medical history: HTA, polymyalgia rheumatica, Horton's arteritis,...
Michele Pietragalla , Letizia Vannucchi , Luca Carmignani , Andrea Pagliari , Claudia Calabresi, Giuseppe Alabiso , Silvia Rossi , Anna Talina Neri , Michele Trezzi , Massimo Di Pietro
SOC Radiodiagnostica Ospedale San Jacopo PistoiaReparto Malattie Infettive Ospedale San Jacopo Pistoia
Izzo Andrea, D'Aversa Lucia, Cerimoniale Giuseppe, Mazzella Giuseppe, Pergoli Pericle, Faiola Eugenio Leone, Casale Lorenzo, Di Pastena Francesca
U.O.C. Diagnostica per immagini - Ospedale “Dono Svizzero” Formia DEA I livello– Asl Latina
57-year-old male
patient admitted to the ED with fever, cough and...
UOC di Radiologia Diagnostica e Interventistica
Direttore Dott. Stefano Colopi, Ospedale Carlo Poma ASST Mantova.
65-years-old
female patient presented to the ED for cough and chest oppression, no fever.
The patient denied COVID-19 positive contacts. Medical history: previous
bariatric surgery, bipolar disorder. Non-smoker.
Arterial Blood...
Izzo Andrea, D'Aversa Lucia, Cerimoniale Giuseppe, Mazzella Giuseppe, Pergoli Pericle, Faiola Eugenio Leone, Casale Lorenzo, Di Pastena Francesca
U.O.C. Diagnostica per immagini - Ospedale “Dono Svizzero” Formia DEA I livello– Asl Latina
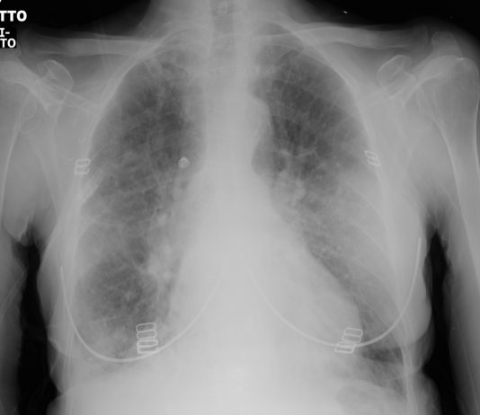
71-year-old female
patient admitted to the ED with dyspnea and fever...
UOC Radiologia ASST Bergamo Est Direttore Dr Gianluigi Patelli
46-year-old asymptomatic female patient underwent chest radiography followed by CT since her husband was diagnosed of Covid-19 pneumonia (case n 14). pO2: 98%.
Chest radiography















