Izzo Andrea, D’Aversa Lucia, Cerimoniale Giuseppe, Mazzella Giuseppe, Pergoli Pericle, Faiola Eugenio Leone, Di Pastena Francesca
U.O.C. Diagnostica per immagini - Ospedale “Dono Svizzero” Formia DEA I livello– Asl Latina
78-year-old female
patient with acute respiratory distress transferred to the ICU from...
Izzo Andrea, D’Aversa Lucia, Cerimoniale Giuseppe, Mazzella Giuseppe, Pergoli Pericle, Faiola Eugenio Leone, Di Pastena Francesca
U.O.C. Diagnostica per immagini - Ospedale “Dono Svizzero” Formia DEA I livello– Asl Latina
27-year-old male patient transferred from another hospital for suspected pneumonia....
Izzo Andrea, D’Aversa Lucia, Cerimoniale Giuseppe, Mazzella Giuseppe, Pergoli Pericle, Faiola Eugenio Leone, Di Pastena Francesca
U.O.C. Diagnostica per immagini - Ospedale “Dono Svizzero” Formia DEA I livello– Asl Latina
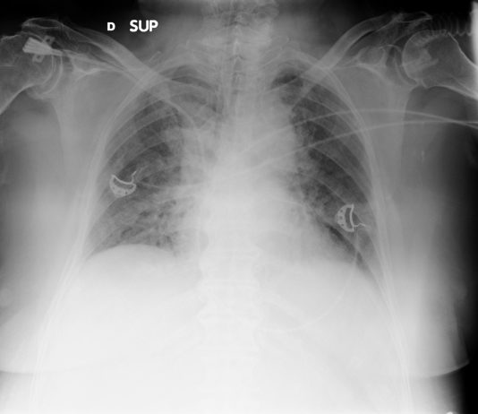
69-year-old female patient presented to the ED with for 7 days,...
Izzo Andrea, D’Aversa Lucia, Cerimoniale Giuseppe, Mazzella Giuseppe, Pergoli Pericle, Faiola Eugenio Leone, Di Pastena Francesca
U.O.C. Diagnostica per immagini - Ospedale “Dono Svizzero” Formia DEA I livello– Asl Latina
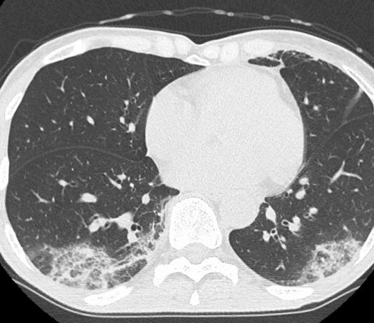
71-year-old male patient admitted to the ED with fever (37.8°C) and...
G. Valeri, G. Neri, L. Cola°, A Rebonato °°
UOC Radiodiagnostica; ° UOC Anestesia e Rianimazione, Ospedale di Fermo, AV4 ASUR Marche; °° UOC Diagnostica per Immagini, AO Riuniti Marche Nord
75-year-old male
patient with asthenia, sick cough and fever for 3...
Claudio Bnà, Lorenzo Monfardini, Fondazione Poliambulanza Istituto Ospedaliero, Brescia
Acute sinusitis treated with Tavanic for 10 days (held on February 28, 2020), followed by fever and cough in treatment with paracetamol with no benefit. Onset of asthenia, diarrhea and hyporexia since the day before...
Lorenzo Monfardini, Fondazione Poliambulanza Istituto Ospedaliero, Brescia
Cough, fever and
progressive dyspnea for 7-8 days not responding to antibiotics. No exposure to
Covid-19 patients. His wife had fever and cough a week before. Medical history:
colon cancer.
RT-PCR positive for SARS-CoV-2.
Stefania Ianniello, Michele Galluzzo, Riccardo Ferrari, Margherita Trinci, Stefano Giannecchini, Carmelo Rende, Viola Valentini, Riccardo Palliola. Diagnostica per Immagini nell’Emergenza Urgenza - Azienda Ospedaliera San Camillo-Forlanini, Roma
80-year old male patient with fever, dyspnea and cough. Medical history: HTA, cardiac failure.
UOC di Radiologia Diagnostica e Interventistica, Ospedale Madonna delle Grazie, ASL 4 - Matera
Michele Nardella, Gerardo Di Costanzo, Claudia Lopez
Patient with cough and fever for one week not responding to antibiotics admitted to the ED for respiratory distress....
UOC Radiologia ASST Bergamo Est Direttore Dr Gianluigi Patelli
46-year-old asymptomatic female patient underwent chest radiography followed by CT since her husband was diagnosed of Covid-19 pneumonia (case n 14). pO2: 98%.
Chest radiography















