G.Patelli, F.Besana, S. Paganoni* , F.Codazzi* , A.Tedeschi**
*UOC Radiologia ASST Bergamo Est; **UOC Medicina ASST Bergamo Est
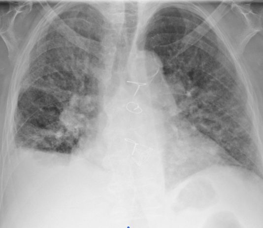
47-year-old male
patient with asthenia, arthralgia, headache, sick cough and fever 39°C since
March 1 presented to the ED on...
Dott. Foà Riccardo Alessandro, Dott. Spinazzola Angelo.
U.O di Radiologia ASST CREMA - Ospedale Maggiore di Crema
55-year-old male
patient with onset of cough and fever on February 24, in quarantine due to a
known contact with a Covid-19 patient. No previous medical...
R. Bonacini, G. Besutti, P. PattaciniRadiologia IRCCS Reggio Emilia; Direttore Pierpaolo Pattacini
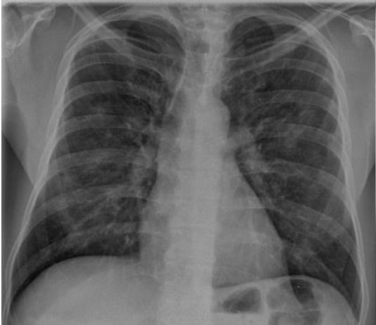
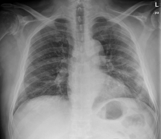
43-year-old male with fever and asthenia for 7 days. Blood test: negative (including C-PR, procalcitonin and CBC). No previous medical history.
Chest radiography:
R. Bonacini, G. Besutti, P. PattaciniRadiologia IRCCS Reggio Emilia; Direttore Pierpaolo Pattacini
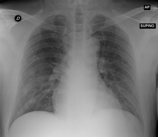
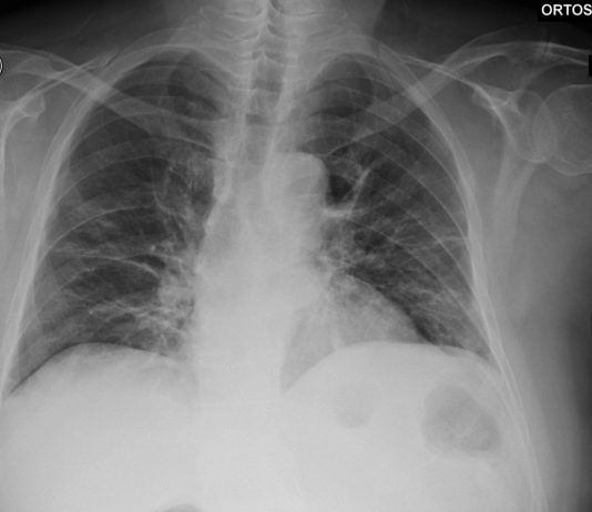
63-year-old male with fever, pharyngalgia asthenia and diarrhea for 5 days. Blood test: C-PR 16.27 mg/dl, procalcitonin and CBC unremarkable. Medical history: Obstructive sleep apnea syndrome.
Chest radiography:
R. Bonacini, G. Besutti, P. PattaciniRadiologia IRCCS Reggio Emilia; Direttore Pierpaolo Pattacini
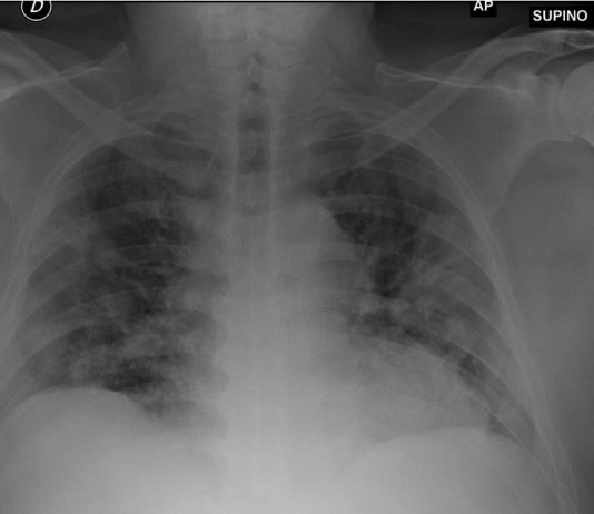
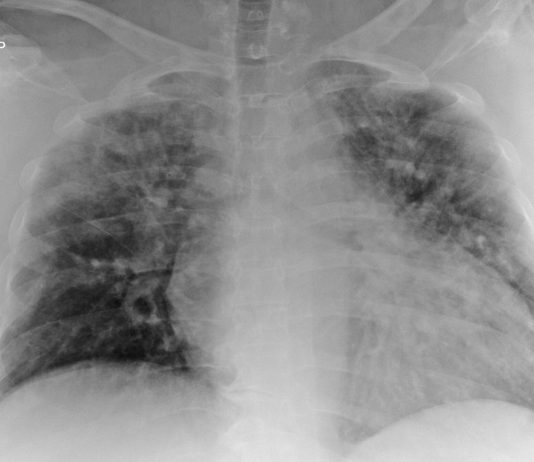
64-year-old male
with dyspnea, cough and fever for 3 days. Blood test: C-PR 13.44 mg/dl, procalcitonin and CBC
unremarkable. Medical history: DM, HTA.
Chest radiography:
R. Bonacini, G. Besutti, P. PattaciniRadiologia IRCCS Reggio Emilia; Direttore Pierpaolo Pattacini
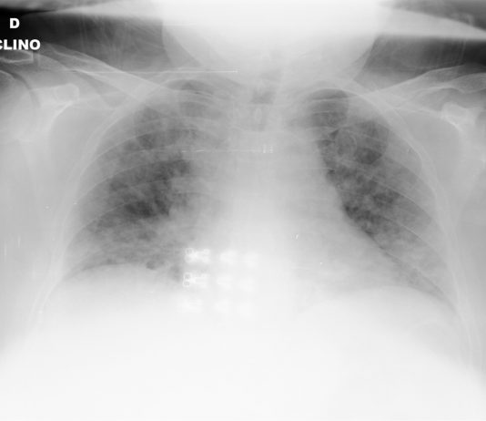
68-year-old male
with fever, dyspnea and diarrhea for 7 days. Blood test: leukocytosis, increased C-PR, procalcitonin in
the range. Medical history: chronic lymphocytic leukemia under follow-up,
dyslipidemia and HTA.
Chest radiography:
Filippo Barbiera - ASP Agrigento Presidio Ospedaliero di Sciacca (AG)
48-year-old female
MD with cough since February 29 and RT-PCR test positive. Blood test:
leukopenia.
Potential risk for SARS-CoV-2 exposure (one contact coming from “high-risk” area)
CT
Izzo Andrea, D’Aversa Lucia, Cerimoniale Giuseppe, Mazzella Giuseppe, Pergoli Pericle, Faiola Eugenio Leone, Di Pastena Francesca
U.O.C. Diagnostica per immagini - Ospedale “Dono Svizzero” Formia DEA I livello– Asl Latina
58-year-old female
with dyspnea and fever for one week. Medical history: COPD...
Izzo Andrea, D’Aversa Lucia, Cerimoniale Giuseppe, Mazzella Giuseppe, Pergoli Pericle, Faiola Eugenio Leone, Di Pastena Francesca
U.O.C. Diagnostica per immagini - Ospedale “Dono Svizzero” Formia DEA I livello– Asl Latina
55- year-old female
patient with dyspnea for a few days; no fever....
Izzo Andrea, D’Aversa Lucia, Cerimoniale Giuseppe, Mazzella Giuseppe, Pergoli Pericle, Faiola Eugenio Leone, Di Pastena Francesca
U.O.C. Diagnostica per immagini - Ospedale “Dono Svizzero” Formia DEA I livello– Asl Latina
71- year-old female
patient admitted to the ED with dyspnea, no fever....















