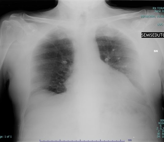
Federico Paltenghi, Giuseppe Bandi, Laura Nano, Vellini SilviaASST Pavia, presidio Ospedaliero di Vigevano, direttore ff reparto di radiologia Elena Belloni
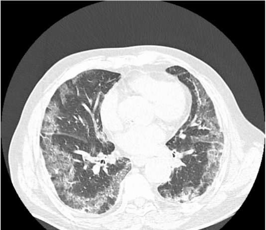
65-years-old male
patient presented to the ED with fever and cough.
Blood test: C-PR 70,99 (< 5) LDH 326 (< 225).
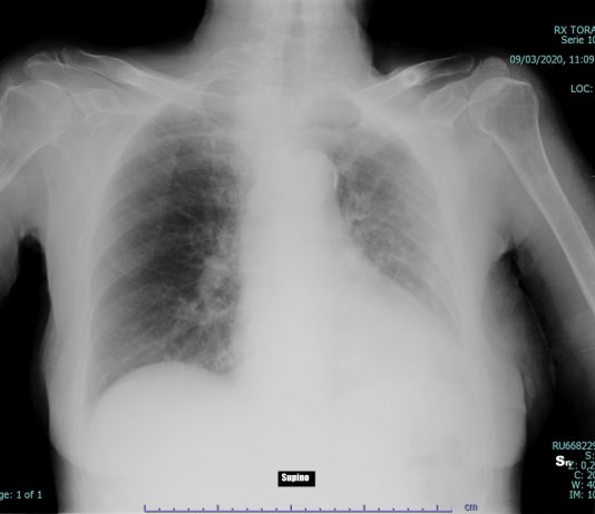
Federico Paltenghi, Federica Lucev, Elena BelloniASST Pavia, presidio Ospedaliero di Vigevano, direttore ff Elena Belloni
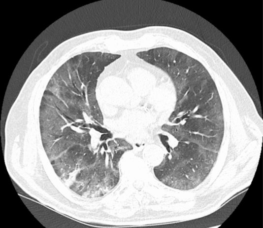
82-years-old female patient, admitted to the ED with dyspnea and fever for 7 days. Medical history: HTA and kidney cancer. Blood test: C-PR 106,93 (< 5); ESR 45 (<15);...
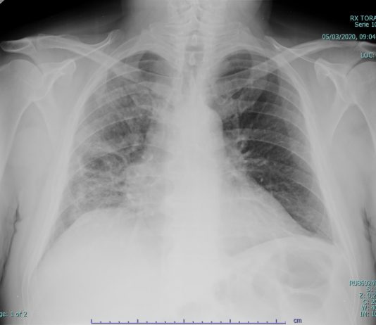
Bozzalla Cassione Francesca, Demaria Paolo, Baralis Ilaria, Negri Alberto, Cerutti Andrea , Priotto Roberto, Violino Paolo
S.C. Radiodiagnostica – A.O. “S. Croce e Carle” - Cuneo
87-years old male
patient with HTA, chronic cardiomyopathy was hospitalized from February 27 to
March 1, 2020 for right-sided heart failure...
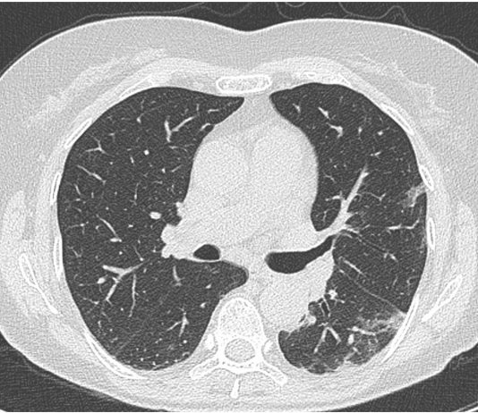
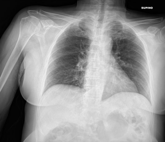
Federico Paltenghi, Lucia Volpato, Giuseppe Bandi
ASST Pavia, presidi Ospedalieri di Vigevano e Mortara, direttore f/f Elena Belloni
73-year-old male patient presented to the ED with fever for 10 days, not responding to paracetamol.
Chest radiography:
Marco Di Serafino, Francesca Iacobellis, Giovanna Russo, Luigia Romano.
AORN "Antonio Cardarelli" - Napoli
53-year-old patient with history of HTA and coronary
artery disease recently detected at cardiac CT, waiting for coronarography,
admitted to ED for syncope with no chest pain, dyspnea, lower...
Federica Pirro, Marco Parillo, Bruno Beomonte Zobel, Carlo Cosimo Quattrocchi
Dipartimento di Diagnostica per Immagini e Radiologia Interventistica - Policlinico Universitario Campus Biomedico di Roma
62-years-old
female patient with headache, cough and fever not responding to antibiotics, in
absence of dyspnea. Nausea and...
Andrea Nardi, Giovanni Carbognin
Radiologia - Ospedale IRCSS Sacro Cuore Don Calabria - Regione Veneto - Negrar (VR)
72-years-old
female patient presented to the ED on March 5 with fever, diarrhea and
dyspepsia for three days. She had contacts with a person affected...
E Sardo, A Molinari, A Baletti, M Bazzocchi, G Bestagno, A D'amico, R Piccazzo, S Russo
Radiodiagnostica generale e senologica del Ponente – Ospedale di Sanremo – Direttore: Dr.ssa Stefania Russo
87-year-old male
patient with contact to a Covid-19 patient. He...
PR Lolli, A Molinari, D Cataldo, M Fasciglione, R Lai, S Russo
Radiodiagnostica generale e senologica del Ponente – Ospedale di Sanremo – Direttore: Dr.ssa Stefania Russo
76-year-old male
patient admitted to the ED with acute abdominal pain. Potential risk for
contacts with...
Gianluca Firullo, Francesca Ferrari, Mauro Martinetti, Valeria De Matteis.
ASL Verbano-Cusio-Ossola, direttore UOC Attilio Guazzoni.
63-year-old with no risk for Covid-19 exposure. The patient presented to the ED with syncope. Head CT and EKG were unremarkable. D-dimer was high, so...















