R. Campa, A. Leonardi, C. Valentini, R. Occhiato
Radiologia AOU Policlinico Umberto I - Sapienza Università di Roma, Dir. Prof. C. Catalano.
Patient presented
for cough and dyspnea for 5 days, not responding to antibiotics. Potential risk
for SARS-CoV-2: he traveled from Florence...
Michele Forte
UO di radiologia diagnostica ed interventistica, Ospedale “Madonna delle Grazie”, Matera
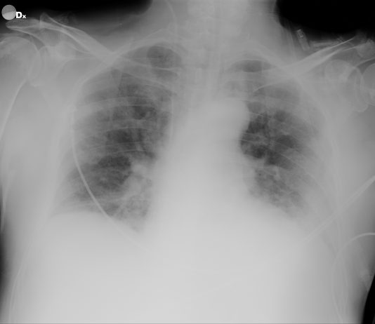
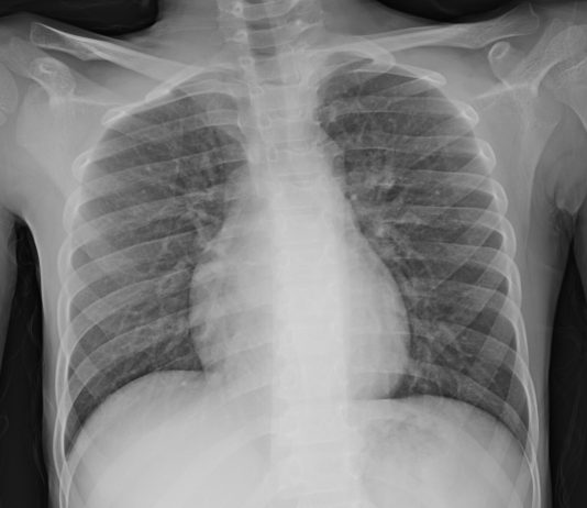
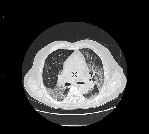
78-year-old patient with fever and cough for 1 week. pO2: 84 %.
CT
Resta E.C., Del Buono F., D’Ettorre E., Burdi N., Di Stasi C.
S.S. Radiologia Oncologica Ospedale San Giuseppe Moscati Taranto
57-year-old male
patient smoker with COPD. No epidemiologic risk either exposure to Covid-19 patients.
The patient was admitted
to ED for...
Resta E.C., Del Buono F., D’Ettorre E., Burdi N., Di Stasi C.
S.S. Radiologia Oncologica Ospedale San Giuseppe Moscati, Taranto
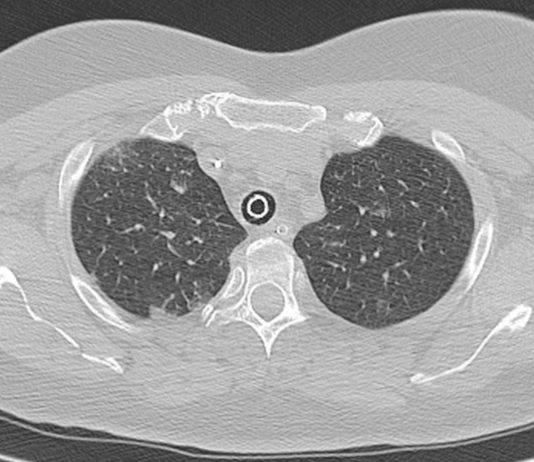
55-year-old
female patient affected by obesity and systemic lupus erythematosus in
treatment with steroids. Asymptomatic, exposure to Covid-19 patient (husband).
Swab negative.
G. Carbognin, F. Lombardo, A. Nardi, G. Giannotti, G. Sala
UOC Radiologia, Direttore G. Carbognin - Ospedale IRCSS Sacro Cuore Don Calabria - Regione Veneto - Negrar di Valpolicella - VR
60-year-old male
patient with abdominal pain and fever for 4 days...
Stefania Ianniello, Carlo Giangregorio, Giovanna Calabrese, Pierfrancesco Ottaviani, Gavina Cuneo, Marco Di Pietropaolo, Caterina M.Trinci, Valeria Saracco, Caterina Pizzi, Michele Galluzzo.
DIAGNOSTICA PER IMMAGINI NELL'URGENZA. AZ.OSP.SAN CAMILLO-FORLANINI ROMA.
84-years-old male
patient with fever for 2 weeks, recent evidence of moderate respiratory
failure.
Maria Sole Prevedoni Gorone, Francesco Ballati. Radiologia Pediatrica IRCCS Policlinico San Matteo Pavia. Direttore: dott Federico Zappoli Thyrion.
4 pediatric
patients, mean age 4.2 years old (range 3.5 months, 10.9 yo).
At the admission,
clinical features were the following:
Silvia Lucarini, Chiara Moroni, Antonella Masserelli, Edoardo Cavigli, Lina Bartolini, Alessandra Bindi, Silvia Pradella AOU Careggi, Firenze, Direttore Dr. Vittorio Miele.
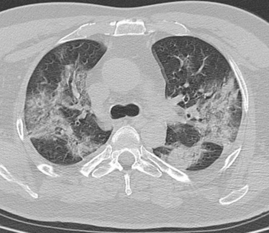
61-years-old male
patient admitted to the ED for severe dyspnea, confusion on March 3. Bedfast after a recent upper respiratory
infection. Medical history: DM type...
Alessandro Rosa - Giuliano Gagliardi
DIAGNOSTICA PER IMMAGINI AORN MOSCATI AVELLINO
61-years-old male, transferred from another hospital. Onset of symptoms (arthralgia, asthenia) on February 27, 2020. Dyspnea and fever (38.5°) since March 2. Venturi mask with reservoir of 15l e pO2...
Cristina Veirana, Alessandro Gastaldo
UOC Radiologia, Ospedale San Paolo, Savona, Direttore dott. Alessandro Gastaldo
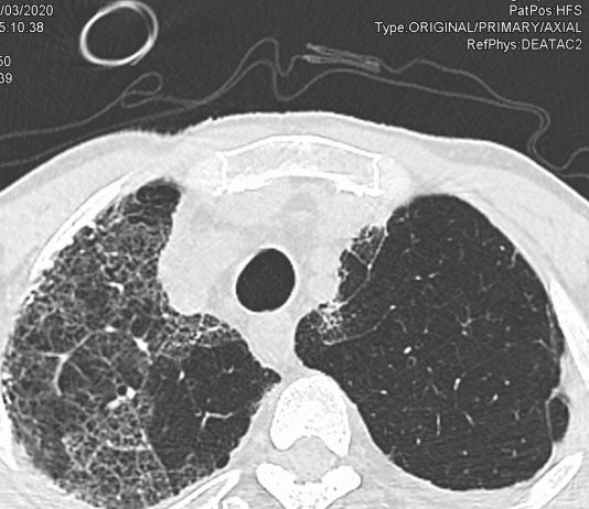
79-years-old patient, with cough and fever since February 29; the patient was hospitalized for pneumonia on March 1.
Medical history: DM, cardiopathy. Potential...















