Anna Simeone
Casa Sollievo della Sofferenza - San Giovanni Rotondo
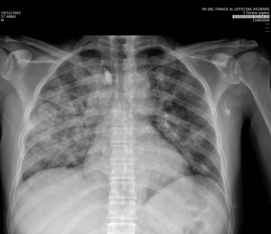
Pz maschio di anni 58, giunge al PS per crisi lipotimico – sincopale insorta dopo uno sforzo. Da qualche giorno flogosi delle prime vie aeree e tosse. Non ha viaggiato. Non...
UOC Radiologia - AO Sant’Orsola - Bologna
Paziente di 55 aa con richiesta di URO-TC urgente in soggetto recentemente sottoposto ad intervento di prostatectomia radicale robotica con iperpiressia persistente, nel sospetto di raccolte addominali.
Durante l'esecuzione...
UOC di Radiologia Diagnostica e Interventistica, Ospedale Madonna delle Grazie, ASL 4 - Matera
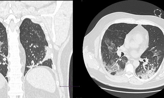
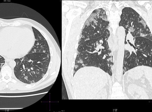
Paziente maschio, di 60 anni, con febbre da tre giorni, proveniente da zona rossa. Tampone positivo.
HRTC
A cura di G.Patelli, A. Lenzi, F.Besana,S. Paganoni,, F. Codazzi, G.Colao, C.Coluccia, E.Faietti, G.Ghilardi
UOC Radiologia ASST Bergamo Est - Direttore Dr. Gianluigi Patelli
Paziente femmina di 73 anni, sintomatica per febbre ed insufficienza respiratoria acuta.
Contestualmente ad...
A cura di G.Patelli , S. Paganoni , F.Besana, A. Lenzi, F. Codazzi, G.Verderame, L.Selogni, C.Costa
UOC Radiologia ASST Bergamo Est Direttore Dr Gianluigi Patelli
Paziente maschio di 67anni, sintomatico per febbre associata a tosse da 1 settimana, trattata al domicilio con Amoxicillina...
Radiologia ASST Cremona
Uomo 43 anni, nessuna comorbidità nota. Febbre e tosse non produttiva. Leucopenia. Insufficienza respiratoria ipossemica e ipocapnica. Contatto con soggetti zona rossa. Tampone positivo NCOV 19.
HRTC Torace
Figura 1
Radiologia ASST Cremona
Donna 32 anni, in trattamento steroideo per patologia autoimmune. Febbre e tosse non produttiva. Leucocitosi. Insufficienza respiratoria ipossemica e ipocapnica. Non accertabile contatto con soggetti zona rossa (Paziente 1 Cremona). Tampone positivo NCOV 19.
HRTC Torace
Radiologia ASST Cremona
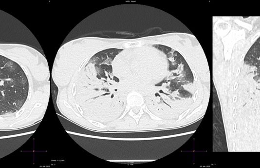
Uomo 63 anni, nessuna comorbidità nota. Febbre e tosse non produttiva. Leucocitosi. Insufficienza respiratoria ipossemica e ipocapnica. Contatto con soggetti zona rossa. Tampone positivo NCOV 19.
HRTC Torace
Figura 1
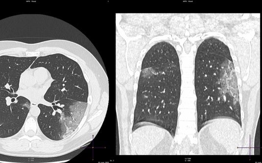
Radiologia ASST Cremona
Uomo 45 anni, nessuna comorbidità nota. Febbre e tosse non produttiva. Leucocitosi. Insufficienza respiratoria ipossemica e ipocapnica. Sospetto contatto con soggetti zona rossa. Tampone positivo NCOV.
HRTC Torace
Figura 1
Radiologia ASST Cremona
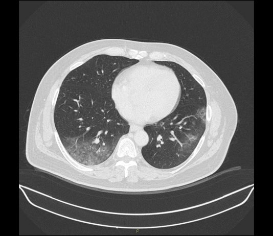
Uomo 57 anni, nessuna comorbidità nota.
Febbre e tosse non produttiva.
Leucocitosi. Insufficienza respiratoria ipossemica e ipocapnica.
Sospetto contatto con soggetti zona rossa. Tampone positivo NCOV 19.
HRTC Torace















