Izzo Andrea, D’Aversa Lucia, Cerimoniale Giuseppe, Mazzella Giuseppe, Pergoli Pericle, Faiola Eugenio Leone, Casale Lorenzo, Di Pastena Francesca
U.O.C. Diagnostica per immagini – Ospedale “Dono Svizzero” Formia DEA I livello– Asl Latina
70 year-old male patient presented to the ED with fever for 10 days, occurred after exposure to a Covid-19 patient. No dyspnea neither cough. pO2: 95%. Medical history: chronic thyroiditis, HTA.
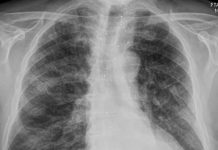
Portable chest film (performed in a tent set up outside the ED):

diffuse interstitial markings w/o alveolar consolidations.
CT




Multiple and bilateral ground-glass opacities with predominant subpleural distribution in the upper lobes, in the ML and in the lower lobes. The findings were consistent with COvid-19 pneumonia.
The RT-PCR test on nasopharyngeal swab turned positive.










