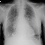
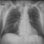
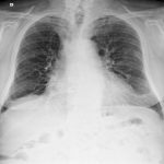
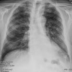
COVID-19: management strategy in radiology

0
6508
SIRM
SIRM
image_pdfimage_print

The appropriate position of radiology in COVID-19 diagnosis and treatment—current status and opinion from China

Progress and prospect on imaging diagnosis of COVID-19

Journal of American College of Radiology

COVID-19 and Italy: what next

Guidelines for the Management COVID-19 Paediatric patient