Izzo Andrea, D'Aversa Lucia, Cerimoniale Giuseppe, Mazzella Giuseppe, Pergoli Pericle, Faiola Eugenio Leone, Casale Lorenzo, Di Pastena Francesca
U.O.C. Diagnostica per immagini - Ospedale “Dono Svizzero” Formia DEA I livello– Asl Latina
Paziente Maschio, 56 anni, già in autoisolamento domiciliare per essere...
Izzo Andrea, D'Aversa Lucia, Cerimoniale Giuseppe, Mazzella Giuseppe, Pergoli Pericle, Faiola Eugenio Leone, Casale Lorenzo, Di Pastena Francesca
U.O.C. Diagnostica per immagini - Ospedale “Dono Svizzero” Formia DEA I livello– Asl Latina
Paziente Maschio, 70 anni, si reca in PS per febbre...
P.Nespoli, P. Moretto, D. Sardo, P. Hosseinollahi, A. De Pascale, G. Garofalo, A. Veltri
AOU San Luigi Gonzaga, Orbassano, Radiodiagnostica, Direttore: Prof. A. Veltri
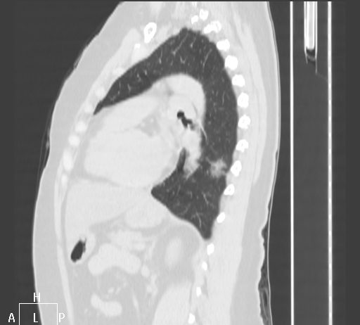
Uomo di 60 anni
Insorgenza di dispnea e febbre
APR: silente
P.Nespoli, P. Moretto, D. Sardo, P. Hosseinollahi, A. De Pascale, G. Garofalo, A. Veltri
AOU San Luigi Gonzaga, Orbassano, Radiodiagnostica, Direttore: Prof. A. Veltri
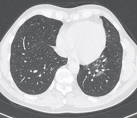
Uomo di 30 anni. Malessere generale e febbre da 5 giorni, Da 2 giorni tosse e difficoltà...
P.Nespoli, P. Moretto, D. Sardo, P. Hosseinollahi, A. De Pascale, G. Garofalo, A. Veltri
AOU San Luigi Gonzaga, Orbassano
Radiodiagnostica, Direttore: Prof. A. Veltri
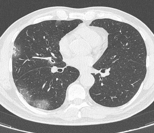
Uomo di 60 anni
Comparsa di dispnea e ipertermia
Priotto Roberto, Negri Alberto, Demaria Paolo, Baralis Ilaria, Cerutti Andrea, Violino Paolo
S.C. Radiodiagnostica – A.O. “S. Croce e Carle” - Cuneo
Paziente di 40 anni maschio, accede in DEA il 13/03/2020 per febbre e da oggi dispnea. In anamnesi pregressa polmonite, ex fumatore.
Rientrato in data 5/03 da...
Gallarato Gabriele, Demaria Paolo, Negri Alberto, Baralis Ilaria, Cerutti Andrea, Priotto Roberto, Violino Paolo.
S.C. Radiodiagnostica – A.O. “S. Croce e Carle” – Cuneo
Paziente donna di 52 anni, da circa 4 giorni febbre e malessere, in peggioramento.
Accede in DEA per sincope dopo...
UOC di Radiologia Diagnostica e Interventistica
Direttore Dott. Stefano Colopi, Ospedale Carlo Poma ASST Mantova.
Paziente donna, 65 anni, in anamnesi patologica intervento di chirurgia bariatrica, sindrome bipolare. Non fumatrice.
Anamnesi patologica prossima muta, in particolare negativa per contatto con pazienti Covid-19 positivi.
Giunge in PS per tosse...
R. Campa, A. Leonardi, C. Valentini, R. Occhiato
Radiologia AOU Policlinico Umberto I - Sapienza Università di Roma, Dir. Prof. C. Catalano.
Il pz giunge per tosse e dispnea dal circa 5 giorni per cui ha assunto prima terapia con amoxicillina/...
Michele Forte
UO di radiologia diagnostica ed interventistica, Ospedale “Madonna delle Grazie”, Matera
Paziente di 78 anni con febbre e tosse da una settimana ed insufficienza respiratoria (saturazione 84).
TC torace















