Chiara Colaiacomo, Chiara Andreoli, Gaia Cartocci, Maurizio Del Monte, Paolo Ricci
Radiologia DEA - Azienda Ospedaliera-Universitaria Policlinico Umberto I – Università di Roma La Sapienza
“Case Report” significativo in relazione all’evidente miglioramento del quadro radiologico e clinico successivo a terapia specifica.
Bordin Giorgio Fonte Pasqualina Marchini Nicola Viviano FerdinandoReparto di Diagnostica per Immagini Ospedale Regionale “Piccole Figlie Hospital” Parma
Paziente donna, 74 anni, ricoverata per frattura di femore in seguito a caduta accidentale, dopo 7gg di degenza la paziente presenta iperpiressia (38,5°) con faringodinia e...
Ambra Sangiovanni, Enrico Maria Colli Tibaldi, Emiliano GiudiciUSC Radiologia ASST Lodi - Presidi Ospedalieri di Codogno e CasalpusterlengoDirettore: Dott.ssa Paola Scagnelli
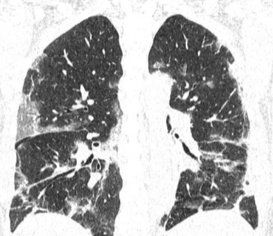
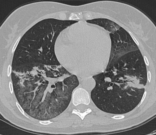
Maschio, 77 anni.Accesso in PS e ricovero per trauma anca sx.ANAMNESI: fibrosi polmonare idiopatica in terapia con inibitore della tirosin-chinasi ed in O2-terapiadomiciliare;...
Resta E.C., Del Buono F., D’Ettorre E., Burdi N., Di Stasi C.
S.S. Radiologia Oncologica Ospedale San Giuseppe Moscati - Taranto
Paziente uomo, 61 anni, con anamnesi patologica remota negativa.
Anamnesi patologica prossima contatto nella terza settimana di...
Resta E.C., Del Buono F., D’Ettorre E., Burdi N., Di Stasi C.
S.S. Radiologia Oncologica Ospedale San Giuseppe Moscati - Taranto
Paziente donna, 44 anni, con anamnesi patologica remota e prossima negative.
Giunge in PS per insorgenza di...
Lucia Capoccia, Maurizio Del Monte, Maria Luisa De Cicco, Paolo Ricci
Radiologia - Azienda Ospedaliera-Universitaria Policlinico Umberto I – Università di Roma La Sapienza
Paziente uomo, 56 anni, giunto al DEA per febbre e dispnea da alcuni giorni, in trattamento con...
Michele Pietragalla1, Letizia Vannucchi2, Luca Carmignani1, Andrea Pagliari1, Claudia Calabresi1, Giuseppe Alabiso1, Silvia Rossi1, Anna Talina Neri1, Michele Trezzi2, Massimo Di Pietro2.
1 SOC Radiodiagnostica Ospedale San Jacopo Pistoia 2 Reparto Malattie Infettive Ospedale San Jacopo Pistoia
Paziente uomo, 83 anni,...
Chiara Andreoli, Alessandra Tortora, Stefano Perotti, Andrea Leonardi, Paolo Ricci, Radiologia - AOU Policlinico Umberto I - Sapienza Università di Roma, direttore prof. Carlo Catalano
Paziente donna, 66 anni, trasportata dal 118 per febbre, tosse e dispnea da 8 giorni con recente peggioramento. Anamnesi...
Maria Rosaria D'Aprile, Lucia Capoccia, Andrea Leonardi, Paolo Ricci, Radiologia - AOU Policlinico Umberto I - Sapienza Università di Roma, direttore prof. Carlo Catalano
Paziente uomo, 38 anni, trasportato dal 118 con febbre e tosse da 5 giorni, trattato con zitromax e tachipirina senza...
Cristina Valentini, Annarita Scala, Giacinta Avventurieri, Chiara Andreoli, Paolo Ricci, Radiologia - AOU Policlinico Umberto I - Sapienza Università di Roma, direttore prof. Carlo Catalano
Paziente uomo, 58 anni, trasportato dal 118 per febbre da 15 giorni, trattato con antibiotico e tachipirina senza beneficio.















