Augusta Tentori*, Ilaria Casorzo*, Benedetta Ciacchini**, Claudio Cangelosi*, Patrizia Russo*
*Radiologia Ospedale Infantile Cesare Arrigo Alessandria Direttore Stefano Barbero
**Pediatria Ospedale Infantile Cesare Arrigo Alessandria Direttore Enrico Felici
Segnaliamo la casistica di pazienti positivi a SARS-CoV-2 giunti alla...
Resta E.C., Del Buono F., D’Ettorre E., Lenzo Stancampiano G., Piccoli A., Burdi N., Di Stasi C.
S.S. Radiologia Oncologica Ospedale San Giuseppe Moscati , Taranto
CASO CLINICO
Paziente donna, 78 anni, con anamnesi patologica remota muta.
Resta E.C., Del Buono F., D’Ettorre E., Piccoli A., Cassano L., Burdi N., Di Stasi C.
S.S. Radiologia Oncologica Ospedale San Giuseppe Moscati, Taranto
Paziente uomo, 61 anni, con anamnesi patologica remota negativa.
Anamnesi...
Resta E.C., Del Buono F., D’Ettorre E., Sassano L., Piccoli A., Burdi N., Di Stasi C.
S.S. Radiologia Oncologica Ospedale San Giuseppe Moscati, Taranto
Paziente donna, 44 anni, con anamnesi patologica remota e prossima negative.
F.Finazzo , G Paviglianiti, M.P.Pappalrdo UOC Radiologia Pediatrica PO G.DI Cristina Arnas Civico Palermo Direttore Dott.ssa M.P. Papplardo
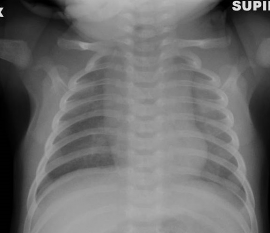
Bimbo di tre mesi ,fratello Covid -19 positivo e genitori Covid-19 positivi ,sintomatici in quarantena presso il loro domicilio.
Viene portato...
F.Finazzo , G Paviglianiti, M.P.Pappalrdo UOC Radiologia Pediatrica PO G.DI Cristina Arnas Civico Palermo Direttore Dott.ssa M.P. Papplardo
Bimbo di sei anni (due fratelli e genitori asintomatici)
Anamnesi patologica prossima:
Febbre da cinque giorni ,trattata con...
Ghirardo Donatella, Demaria Paolo, Negri Alberto, Cerutti Andrea, Mercuri Michelangelo, Violino Paolo
S.C. Radiodiagnostica – A.O. “S. Croce e Carle” - Cuneo
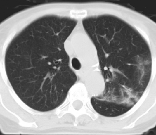
Paziente Maschio, 78 anni, accede in DEA per febbre da 3 giorni, tosse e desaturazione. Proveniente da struttura di...
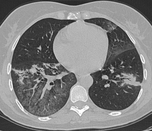
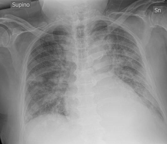
Pezzotti S., Botti P., Perotti V., Bnà C.Unità complessa di Radiologia - Istituto Ospedaliero Fondazione Poliambulanza (Brescia)Paziente donna di 47aa, accesso in PS in data 10/03/2020 per febbre e dispnea.APR: ipertensione arteriosa, obesità (esiti di intervento di chirurgia bariatrica)Tampone positivo per Covid-19.
RX torace...
A cura di: Giancarlo GISMONDO VELARDI, Antonino BOVA, Letterio MILITANO, Ilaria TRECROCI, Giuseppe GRECO, Matilde LICO, Giuseppe CASUSCELLI, Vincenzo FIORILLO, Sandro BALDARI
Dipartimento dei Servizi Sanitari - U.O. Radiologia - P.O. "G. Jazzolino", Vibo Valentia – ASP Vibo Valentia
Maschio, 61 anni....
UOC Radiologia Pediatria PO G. Di Cristina ARNAS Civico Palermo
G.Paviglianiti, U.Burgio, M.Castiglia, L.Ferraro, M.Finazzo, G.Marsala, L.Putignano, A. Re. Direttore: M.Pia Pappalardo
Giunto al PS del PO G.Di Cristina di Palermo accompagnato dalla zia.
Fratello Covid + (asintomatico)...















