Giancarlo GISMONDO VELARDI, Giuseppe E. GRECO, Letterio MILITANO, Ilaria V. TRECROCI, Matilde LICO, Giuseppe CASUSCELLI, Antonino BOVA, Vincenzo FIORILLO, Sandro BALDARI
Dipartimento dei Servizi Sanitari - U.O. Radiologia - ASP Vibo Valentia
Maschio, 51 anni. Anamnesi patologica remota muta. Il paziente è residente a Fabrizia,...
Giancarlo GISMONDO VELARDI, Letterio MILITANO, Giuseppe E. GRECO, Ilaria V. TRECROCI, Matilde LICO, Giuseppe CASUSCELLI, Antonino BOVA, Vincenzo FIORILLO, Sandro BALDARI
Dipartimento dei Servizi Sanitari - U.O. Radiologia – ASP Vibo ValentiaPaziente di sesso femminile, 75 anni, diabetica.
La paziente giunge il 30/3 in PS da...
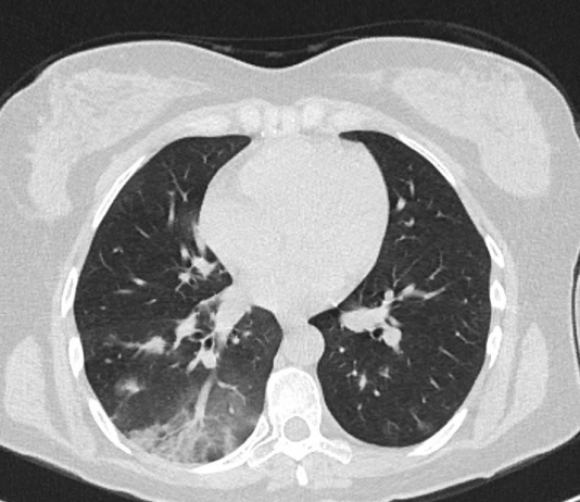
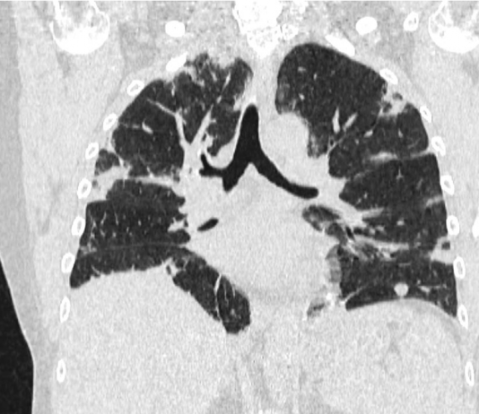
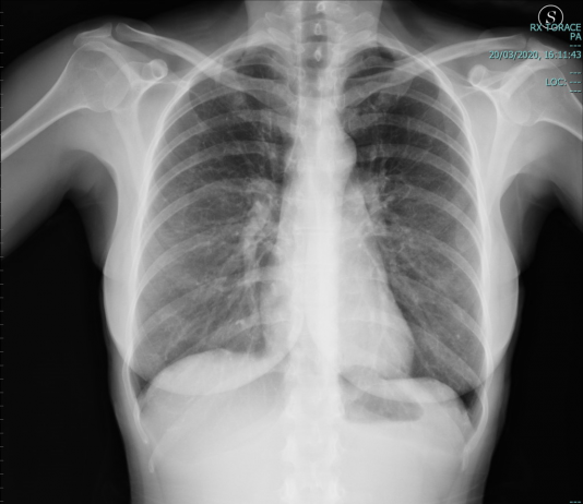
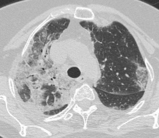
Giancarlo GISMONDO VELARDI, Giuseppe E. GRECO, Letterio MILITANO, Ilaria V. TRECROCI, Matilde LICO, Giuseppe CASUSCELLI, Antonino BOVA, Vincenzo FIORILLO, Sandro BALDARI
Dipartimento dei Servizi Sanitari - U.O. Radiologia – Ospedale "G. Jazzolino", Vibo Valentia - ASP Vibo Valentia
Maschio, 51 anni. Anamnesi patologica...
Longo Chiara, Tomaiuolo Luisa, Beleù Alessandro, De Robertis Riccardo, D’Onofrio Mirko
Policlinico G.B. Rossi “Borgo Roma” - Università degli Studi di Verona – Verona (VR)
Maschio, 75 anni.
In APR: mieloma multiplo micromolecolare lambda in corso di follow-up...
M.Altiero, G.Avitabile, G.M. Chef, F. Di Pietto, R.Danzi, F.Golia, E.Laccetti, A.Perillo, A.Rengo, G.Rusconi, A.Sorbo
"Pineta Grande Hospital" - Castel Volturno (CE)
Dipartimento di Diagnostica per Immagini
Responsabile Dott. M. Scaglione
Uomo, 77 anni, giunge in...
M.Altiero, G.Avitabile, G.M. Chef, F. Di Pietto, R.Danzi, F.Golia, E.Laccetti, A.Perillo, A.Rengo, G.Rusconi, A.Sorbo
"Pineta Grande Hospital" - Castel Volturno (CE)
Dipartimento di Diagnostica per Immagini
Resp. Dott. M. Scaglione
Donna, 31 anni, giunge in...
M.Altiero, G.Avitabile, G.M. Chef, F. Di Pietto, R.Danzi, F.Golia, E.Laccetti, A.Perillo, A.Rengo, G.Rusconi, A.Sorbo
"Pineta Grande Hospital" - Castel Volturno (CE)
Dipartimento di Diagnostica per Immagini
Resp. Dott. M. Scaglione
Donna, 45 anni, trasferita da...
Davide Stoppa, Federico Paltenghi, Lucia Volpato, Michele di NunnoASST Pavia, presidio Ospedaliero di Vigevano, direttore ff reparto di Radiologia Elena Belloni
Paziente donna di 39 anni; accesso al Pronto Soccorso di Vigevano il 10/03 per insorgenza di febbre in operatrice sanitaria (infermiera).Esami ematochimici sostanzialmente...
Michele Pietragalla1, Letizia Vannucchi1, Luca Carmignani1, Andrea Pagliari1, Anna Talina Neri1, Alessia Petruzzelli1, Michele Trezzi2, Massimo Di Pietro2.1 SOC Radiodiagnostica Ospedale San Jacopo Pistoia ASL Toscana Centro2 Reparto Malattie Infettive Ospedale San Jacopo Pistoia ASL Toscana Centro
Donna di 64 anni, con anamnesi di...
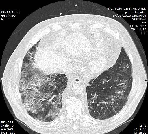
Giancarlo GISMONDO VELARDI, Antonino BOVA, Letterio MILITANO, Ilaria V. TRECROCI, Giuseppe E. GRECO, Matilde LICO, Giuseppe CASUSCELLI, Vincenzo FIORILLO, Sandro BALDARI
Dipartimento dei Servizi Sanitari - U.O. Radiologia – ASP Vibo Valentia
Maschio, 66 anni. In anamnesi: diabete mellito; ipertensione arteriosa;...















