Izzo Andrea, D’Aversa Lucia, Cerimoniale Giuseppe, Mazzella Giuseppe, Pergoli Pericle, Faiola Eugenio Leone, Di Pastena Francesca
U.O.C. Diagnostica per immagini - Ospedale “Dono Svizzero” Formia DEA I livello– Asl Latina
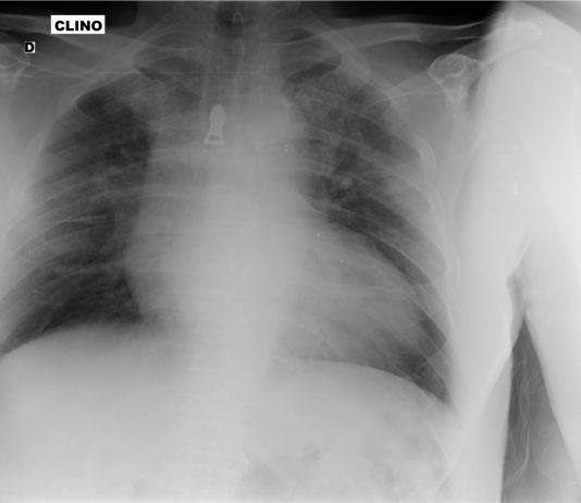
Pz Donna, 69 anni, riferisce febbre da una settimana trattata con...
Izzo Andrea, D’Aversa Lucia, Cerimoniale Giuseppe, Mazzella Giuseppe, Pergoli Pericle, Faiola Eugenio Leone, Di Pastena Francesca
U.O.C. Diagnostica per immagini - Ospedale “Dono Svizzero” Formia DEA I livello– Asl Latina
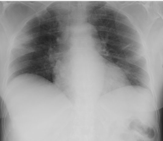
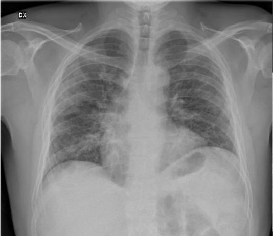
Paziente Maschio, 71 anni, si reca in PS per febbre (37,8°)...
G. Valeri, G. Neri, L. Cola°, A Rebonato °°
UOC Radiodiagnostica; ° UOC Anestesia e Rianimazione, Ospedale di Fermo, AV4 ASUR Marche; °° UOC Diagnostica per Immagini, AO Riuniti Marche Nord
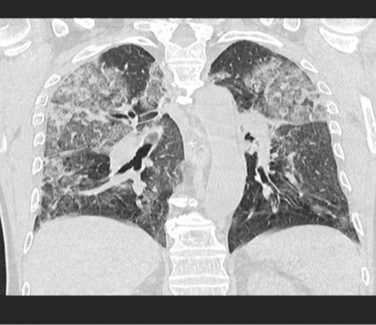
Paziente maschio 75 anni. Anamnesi remota muta, non comorbidità. Esordio con...
Claudio Bnà, Lorenzo Monfardini, Fondazione Poliambulanza Istituto Ospedaliero, Brescia
Comparsa di sinusite acuta, trattata con Tavanic 500 mg 1/die per 10 giorni (terminato in data 28/02). Una settimana fa comparsa di febbre e tosse, in terapia con tachipirina con scarso beneficio. Da ieri astenia,...
Lorenzo Monfardini, Fondazione Poliambulanza Istituto Ospedaliero, Brescia
Da almeno 7-8 giorni tosse secca, febbre progressiva dispnea. Nega contatti con soggetti positivi a COVID19, nega viaggi all'estero o nelle zone rosse. Vive con la moglie che ha avuto tosse e febbre ma attualmente è asintomatica....
Stefania Ianniello, Michele Galluzzo, Riccardo Ferrari, Margherita Trinci, Stefano Giannecchini, Carmelo Rende, Viola Valentini, Riccardo Palliola. Diagnostica per Immagini nell’Emergenza Urgenza - Azienda Ospedaliera San Camillo-Forlanini, Roma
Paziente di 80anni, cardiopatico, iperteso, esordio con febbre elevata, dispnea e tosse.
HRTC
UOC di Radiologia Diagnostica e Interventistica, Ospedale Madonna delle Grazie, ASL 4 - Matera
Michele Nardella, Gerardo Di Costanzo, Claudia Lopez
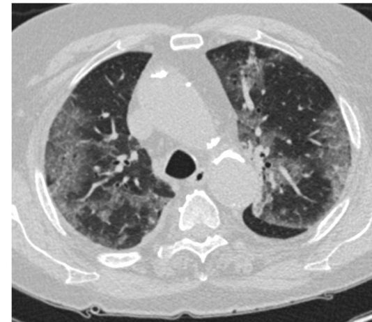
Definito il nostro “caso indice”. Paziente con tosse e febbre da una settimana resistenti a terapia domiciliare sintomatica e antibiotica....
UOC Radiologia ASST Bergamo Est Direttore Dr Gianluigi Patelli
Femmina, 46 anni, non co-patologie, asintomatica. Si rileva saturazione pO2 98 % in aria ambiente. Riferisce dolori lombari aspecifici circa 10 giorni fa, risolti spontaneamente. In coabitazione con il marito (caso 14), che accompagna, senza...
UOC Radiologia ASST Bergamo Est Direttore Dr Gianluigi Patelli
Maschio, 50 anni, non co-patologie, sintomatico da due giorni, in peggioramento, con tosse secca, piressia oltre 38°C, astenia. Si rileva saturazione pO2 93 % in aria ambiente.
PERCORSO CLINICO DIAGNOSTICO: il paziente giunge in...
UOC Radiologia ASST Bergamo Est Direttore Dr Gianluigi Patelli
Femmina, 61 anni, fumatrice. A novembre 2019 tosse febbre ed astenia trattata con Ceftriaxone, successivamente con Amoxicillina e terapia cortisonica. Da qualche giorno comparsa di tosse e febbre 37,8°, modesta astenia. Si rileva saturazione pO2 98...















