Francesco MESSINA, Giuseppe IELO, Claudio FRANZUTTI, Pietro ARCIELLO, Carmela FALCONE, Antonio ARMENTANO, Nicola ARCADI
Dipartimento Tecnologie Avanzate Diagnostiche e Terapeutiche
U.O.C. di Radiologia – Ospedale Riuniti
Azienda Ospedaliera Grande Ospedale Metropolitano (G.O.M.) “Bianchi-Melacrino-Morelli”
Reggio Calabria
Francesco MESSINA, Grazia CALABRESE, Carmela TEBALA, Lorena TURANO, Antonio ARMENTANO, Nicola ARCADI
Dipartimento Tecnologie Avanzate Diagnostiche e Terapeutiche, U.O.C. di Radiologia – Ospedale Riuniti, Azienda Ospedaliera Grande Ospedale Metropolitano (G.O.M.) “Bianchi-Melacrino-Morelli”, Reggio Calabria
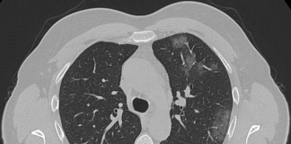
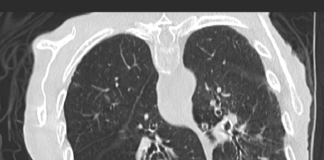
Paziente di sesso maschile, 57 anni. Ipertensione e...
Giancarlo GISMONDO VELARDI, Ilaria V. TRECROCI, Giuseppe E. GRECO, Letterio MILITANO, Matilde LICO, Giuseppe CASUSCELLI, Antonino BOVA, Vincenzo FIORILLO, Sandro BALDARI
Dipartimento dei Servizi Sanitari - U.O. Radiologia – Ospedale "G. Jazzolino", Vibo Valentia - ASP Vibo Valentia
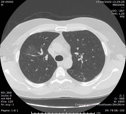
Maschio, 39 anni. Anamnesi patologica remota muta.
Giancarlo GISMONDO VELARDI, Letterio MILITANO, Giuseppe E. GRECO, Ilaria V. TRECROCI, Matilde LICO, Giuseppe CASUSCELLI, Antonino BOVA, Vincenzo FIORILLO, Sandro BALDARI
Dipartimento dei Servizi Sanitari - U.O. Radiologia – ASP Vibo ValentiaMaschio, 47 anni. Anamnesi patologica remota muta.
Il paziente giunge tramite 118 il 29/3 in...
Giancarlo GISMONDO VELARDI, Ilaria V. TRECROCI, Giuseppe E. GRECO, Letterio MILITANO, Matilde LICO, Giuseppe CASUSCELLI, Antonino BOVA, Vincenzo FIORILLO, Sandro BALDARI
Dipartimento dei Servizi Sanitari - U.O. Radiologia - ASP Vibo Valentia
Paziente di sesso femminile, 61 anni, cardiopatica, ipertesa e diabetica in trattamento con ipoglicemizzanti...
Giancarlo GISMONDO VELARDI*, Ilaria V. TRECROCI*, Giuseppe E. GRECO*, Letterio MILITANO*, Matilde LICO*, Sandro BALDARI*
(*) Dipartimento dei Servizi Sanitari - U.O. Radiologia - Ospedale "G. Jazzolino" - ASP Vibo Valentia
Paziente di sesso femminile, 20 anni. Anamnesi patologica remota muta.
C. Duranti, M. Finazzo, G. Peritore, T. Cassano, D. Messana
Dipartimento di Radiodiagnostica e Radiologia Interventistica, Direttore D. MessanaARNAS, Ospedali Civico, Di Cristina e Benfratelli, Palermo
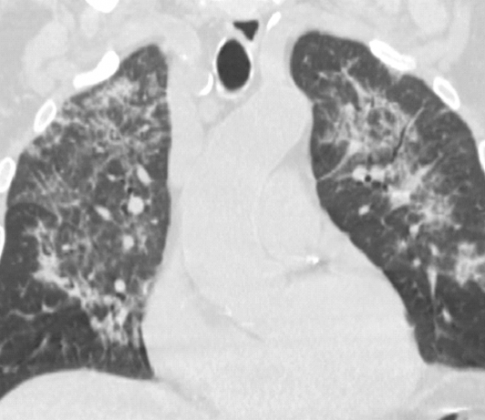
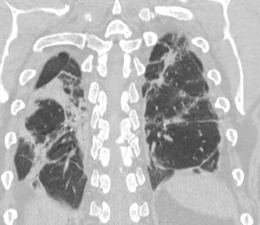
Paziente di sesso maschile, di 42 anni, senza comorbidità, da 5 giorni affetto da febbre, tosse ed iperpiressia...
Dr. Gianluca Firullo, Dipartimento di Radiologia Asl VCO.Responsabile f.f Dr. Roberto Tranchini
Controllo TC di uomo 57 anni privo di comorbilità e fattori di rischio rilevanti,ricoverato da oltre 30 gg in Terapia Intensiva attualmente in IOT con ventilazione meccanica alternata SIMV-CPAP e in terapia...
Giancarlo GISMONDO VELARDI, Antonino BOVA, Ilaria V. TRECROCI, Giuseppe E. GRECO, Letterio MILITANO, Matilde LICO, Giuseppe CASUSCELLI, Vincenzo FIORILLO, Sandro BALDARI
Dipartimento dei Servizi Sanitari - U.O. Radiologia - ASP Vibo Valentia
Paziente di sesso femminile, 48 anni. Anamnesi patologica remota muta. La paziente è residente a...
Giancarlo GISMONDO VELARDI, Giuseppe E. GRECO, Letterio MILITANO, Ilaria V. TRECROCI, Matilde LICO, Giuseppe CASUSCELLI, Antonino BOVA, Vincenzo FIORILLO, Sandro BALDARI
Dipartimento dei Servizi Sanitari - U.O. Radiologia – Ospedale "G. Jazzolino", Vibo Valentia - ASP Vibo Valentia
Maschio, 71 anni, diabetico noto in...















