Dr.ssa Resta E.C., Dr. Del Buono F., Dr. Sassano L., Dr.ssa Lenzo Stancampiano G., Dr. Piccoli A., Dr. D’Ettorre E., Dr. Burdi N., Dr. Di Stasi C.
S.S. Radiologia Oncologica Ospedale San Giuseppe Moscati, Taranto
Uomo di 51 anni si presentava al nostro reparto di emergenza con febbre da 8 giorni, senso di oppressione toracica e dispnea lieve. L’anamnesi patologica remota risultava negativa. In anamnesi patologica recente il paziente riferiva viaggio a Milano per lavoro nell’ultima settimana di febbraio 2020 e negava qualsiasi contatto con pazienti con infezione da COVID-19.
All’ingresso, la sua temperatura corporea era elevata a 38,9 °C. Gli esami di laboratorio mostravano valori normali, in particolare leucociti, neutrofili e linfociti.
Esegue TC
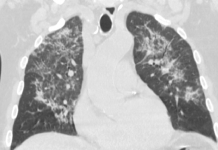
La TC toracica senza MdC ha documentato la presenza di opacità ground glass (GGO) a distribuzione subpleurica e peribroncovascolare del lobo superiore sinistro (LSS) e della lingula (Fig. 1, 2, 3); il lobo inferiore sinistro (LIS) e il polmone destro erano normali. L’ipotesi diagnostica radiologica, formulata sulla base dell’ imaging, è stata di polmonite virale (infezione da SARS-CoV-2), confermata dalla reazione a catena della polimerasi della trascrizione inversa in tempo reale (RT-PCR) [1, 2].
Il paziente è stato dimesso dopo 20 giorni di degenza per risoluzione della sintomatologia clinica e previa esecuzione di doppio tampone, risultati entrambi negativi.
Dopo 40 giorni il paziente è stato sottoposto a follow up mediante indagine TC del torace senza MdC che ha documentato parziale regressione delle note alterazioni GGO precedentemente segnalate al LSS e lingula (Fig. 4, 5, 6).
Discussione
La polmonite da COVID-19 tende a manifestarsi all’indagine TC toracica sotto forma di opacità GGO subpleuriche bilaterali con broncogramma aereo, margini mal definiti e una leggera predominanza nel lobo inferiore destro [3-5]. Questi pattern TC polmonari sono altamente aspecifici e potrebbero sovrapporsi ai segni radiologici dell’influenza H1N1, polmonite da citomegalovirus, altri coronavirus (SARS, MERS) o polmonite atipica [6-8]. Pan et al [9] hanno studiato 21 pazienti con COVID-19 a intervalli di circa 4 giorni dall’inizio della malattia fino al recupero clinico mediante indagini TC toraciche. Hanno definito 4 fasi del coinvolgimento polmonare alla TC e hanno documentato che le alterazioni polmonari alla TC toracica mostrano la massima gravità circa 10 giorni dopo l’insorgenza dei sintomi. Questo caso clinico illustra un coinvolgimento polmonare unilaterale e unilobare in un paziente con infezione da SARS-CoV-2, confermata al tampone, e con sintomi respiratori da 8 giorni. Sebbene la presenza di lesioni unilaterali nella polmonite COVID-19 suggerisce che la malattia è nella sua fase iniziale, ipotizziamo che questi reperti TC di coinvolgimento unilaterale e unilobare possano essere presenti anche in fase clinica progressiva.
References
1 Guo YR, Cao QD, Hong ZA, et al (2020) The Origin, Transmission and Clinical Therapies on Coronavirus Disease 2019 (COVID-19) Outbreak – An Update on the Status. Military Medical Research. PMID: 32169119 PMCID: PMC7068984 DOI: 10.1186/s40779-020-00240-0
2 General Office of National Health Committee. Office of State Administration of Traditional Chinese Medicine. Notice on the issuance of a program for the diagnosis and treatment of novel coronavirus (2019-nCoV) infected pneumonia (trial sixth edition) (2020-02-19) In Press [EB/OL]. http://yzs.satcm.gov.cn/zhengcewenjian/2020-02-19/13221. html]
3 Shi H, Han X, Jiang N, et al (2020) With COVID-19 Pneumonia in Wuhan, China: A Descriptive Study. Lancet Infec Dis PMID: 32105637 DOI: 10.1016/S1473-3099(20)30086-4
4 Wu J, Feng CL, Xian XY, Qiang J, et al (2020) Novel Coronavirus Pneumonia (COVID-19) CT Distribution and Sign Features. Zhonghua Jie He He Hu Xi Za ZhiPMID: 32125131 DOI: 10.3760/cma.j.cn112147-20200217-00106
5 Bernheim A, Mei X, Huang M, et al (2020) Chest CT Findings in Coronavirus Disease-19 (CO- VID-19): Relationship to Duration of Infection. Radiology https://doi.org/10.1148/radiol. 2020200463
5 Kooraki S, Hosseiny M, Lee Myers L, Gholamrezanezhad A (2020) Coronavirus (COVID-19) Outbreak: What the Department of Radiology Should Know. J Am Coll Radiol. PMID: 32092296 DOI: 10.1016/j.jacr.2020.02.008
7 Li Y, Xia L (2020). Coronavirus Disease 2019 (COVID-19): Role of Chest CT in Diagnosis and Management. AJR AM J Roentgenol, 1-7 PMID: 32130038 DOI: 10.2214/AJR.20.22954
8 Bai HX, Hsieh B, Xiong Z, et al (2020) Performance of radiologists in differentiating COVID-19 from viral pneumonia on chest CT. Radiology PMID: 32155105 DOI: 10.1148/radiol.2020200823 9 Pan F, Ye T, Sun P, et al (2020) Time Course of Lung Changes On Chest CT During Recovery From 2019 Novel Coronavirus (COVID-19) Pneumonia. Radiology PMID: 32053470 DOI: 10.1148/radiol.2020200370
















