Francesco MESSINA, Grazia CALABRESE, Carmela TEBALA, Lorena TURANO, Antonio ARMENTANO, Nicola ARCADI
Dipartimento Tecnologie Avanzate Diagnostiche e Terapeutiche, U.O.C. di Radiologia – Ospedale Riuniti, Azienda Ospedaliera Grande Ospedale Metropolitano (G.O.M.) “Bianchi-Melacrino-Morelli”, Reggio Calabria
Paziente di sesso maschile, 57 anni. Ipertensione e dislipidemia, in trattamento farmacologico.
Giunge al Pronto Soccorso per dispnea, tosse secca e febbre (38,5°C) da circa 7 giorni; non aveva avuto alcun beneficio dall’assunzione, a domicilio, di paracetamolo.
Riferisce di non avere avuto contatti con pazienti Covid-19 positivi, sebbene provenga da una località della provincia dichiarata “zona rossa”, nei pressi di Melito P.Salvo.
EO: MV ridotto in entrambi gli ambiti polmonari, con crepitii in sede bi-basale.
All’EGA: lieve ipossia. Saturazione O2: 85%.
ECG: assenza di alterazioni suggestive per ischemia.
Esami di Laboratorio: leucopenia; notevole incremento dei valori di PCR, procalcitonina ed LDH. I valori di D-Dimero e Troponina erano nei limiti.
RX Torace (proiez. in decubito supino obbligato):

Presenza di sfumati addensamenti parenchimali, in parte con aspetto pseudo-nodulare, in entrambi gli emitoraci, con maggiore evidenza in sede bi-basale. Rinforzo della trama interstiziale ed ispessimento peri-bronchiale, bilateralmente. Ili addensati. Velatura (pleurogena) di entrambi i SCF.
Si esegue d’urgenza, a completamento diagnostico, indagine TC del Torace in condizioni basali ed algoritmo ad alta risoluzione (HRCT), con scanner a 64 strati, le cui immagini ottenute sono state analizzate con slice-thickness di 1,2 mm e successive ricostruzioni MPR (assiali, sagittali e coronali).
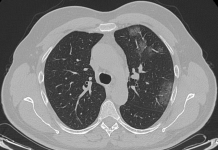
HRCT ha documentato, in entrambi i parenchimi polmonari, la presenza di plurimi addensamenti con aspetto “a vetro smerigliato” ed alcune aree con pattern “crazy-paving”, per la coesistenza di aree “ground-glass”, di consolidamento ed ispessimento interstiziali. Trachea e bronchi pervi. Qualche piccolo linfonodo, reattivo, in sede ilo-mediastinica. Immagine cardiaca nei limiti. Non evidenza di versamento pericardico. Minimo versamento pleurico basale bilaterale.


La TC ha messo bene in evidenza, inoltre, il “segno ragnatela” (“spider web sign”), rappresentato da un’area di opacità ground-glass, ad aspetto grossolanamente triangolare ed angolare, in sede basale sub-pleurica a destra, con all’interno setti interlobulari ispessiti come una rete; la pleura adiacente era stirata ed ispessita, denotando una forma simile a quella di una ragnatela nell’angolo.
Eseguito il tampone rino-faringeo, che ha dato esito positivo per Covid-19.
In considerazione del peggioramento delle condizioni cliniche, il paziente viene ricoverato presso la U.O.C. di Malattie Infettive del nostro Ospedale, HUB di riferimento Covid per l’intera provincia di Reggio Calabria, instaurando prontamente terapia multi-farmacologica ed O2-terapia ad alti flussi.
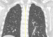
Al settimo giorno di terapia il paziente mostrava un modesto, ma progressivo, miglioramento del quadro clinico e laboratoristico, con discreta diminuzione dei valori di PCR, LDH; stabile la leucopenia. In decima giornata viene ripetuta l’indagine HRCT, per rivalutare il quadro radiologico, che ha documentato, in entrambi i polmoni, una riduzione sia degli addensamenti parenchimali con aspetto “a vetro smerigliato”, che delle aree con pattern “crazy-paving”, che tuttavia erano comunque ancora presenti nei campi medi ed in sede periferica, bilateralmente. Persisteva ancora l’ispessimento/stiramento della pleura viscerale in sede basale posteriore destra, dalla quale si dipartivano setti e tralci ad aspetto fibrosclerotico. Non era più visibile il versamento pleurico.


Il paziente continuava, sebbene lentamente, a migliorare il suo quadro clinico generale, ed anche le indagini di laboratorio, progressivamente, tendevano a rientrare nei valori di riferimento.
Durante la terza settimana di cura i tamponi per la verifica dell’infezione da Covid-19 si erano negativizzati. Così, dopo aver effettuato un’altra indagine HRCT, che ha documentato la pressocchè quasi completa risoluzione TDM degli addensamenti e dei reperti patologici parenchimali polmonari bilaterali già descritti, il paziente è stato dimesso.


Il caso presentato evidenzia l’utilità e l’importanza della HRCT oltre che nelle prime fasi della diagnosi anche per ben valutare il decorso e la severità della malattia, orientando quindi verso il migliore management/outcome clinico del paziente.










